tasar forum 

the One and Only




                 Fitness
1. Auf der "Folterbank"   
9. Sonstiges
     9.1 Body Mass Index                    
9.3 Gehen - Stehen
     
9.2 Heben - Senken - Bücken
 

Willkommen


Seiten-Übersicht

Rubriken


zurückweiter
Letztes Update
13.02.2012

 



              "Nie wieder Ausreitjolle!"

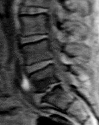
Genau das meinten Herr Doktor, Facharzt für Orthopädie, aktiver Contender-Segler, als er mir die herrlichen

MRT-Aufnahmen meiner Wirbelsäule zeigte - 
 
- groß, klar, kontrastreich, eine Augenweide für jeden klassischen Fotografen.

"Nie wieder Ausreitjolle - steigen Sie ins Trapez!"        - sagt so einfach mal der Contender.


Mal ganz unvoreingenommen: Er hat ja recht, hier haben wir TasarianerInnen ein potentielles Problem.
Ausreiten ist keine reine Freude für unsere Wirbelsäule
- zumindest nicht für die untrainierte...
        

Ich glaube meinem Orthopäden sehr wohl, dass er seinerzeit nur einen kurzen Ausflug zu den Lasern einschob, um alsbald reumütig zu den Contendern zurückzukehren.
Übriges: Richtig wertvolle Funktions- und Fehlfunktionsbeschreibungen gibt's bei    http://www.dr-gumpert.de/html/lendenwirbelsaeule.html
         "Wanten"

"Sie müssen die Wanten verstärken!"


Aber ja doch, sogar ich habe sofort das be- und nach dem Strohhalm ge-griffen:
 

Auf zur Physiotherapie!  





Und nach etlichen Wochen Therapie bin ich dann auf die Idee gekommen, in einer neuen Rubrik Platz zu schaffen für
 Ratschläge, was man tun könnte/sollte,
damit uns unser schöner Sport nicht allzu sehr auf die Gesundheit schlägt. Ich tue das deshalb, weil die Literatur dazu sehr mager ist und ich zudem die Erkenntnis gewonnen habe, dass die meisten der Übungen, welche ich als Sportleiter gelernt und verbrochen habe und welche unsere jungen Trainer immer wieder lernen und immer wieder verbrechen, geeignet sind, mehr zu schaden als zu nützen.

Und gerade deshalb liegt mir besonders am Herzen:
 
1. Keine Übung ohne fachkundige Anleitung und regelmäßige Überwachung!
2. Viel zu leicht schleichen sich schädigende Fehler ein.
3. Viele Trainer, ja auch manche Sportlehrer wirken körpergefährdend.
4. Statt nur "Mucki-Bude" immer wieder mal Physiotherapie am Gerät!
5. Bereits bei den allerersten Problemen medizinischen Rat einholen.


Vorsicht auch bei den Internet-"Experten"Auf der recht interessanten Seite Fitness-xl.de finden sich Übungen, die nur unter sorgfältiger Kontrolle durchgeführt werden sollten - sonst treibt's dem Arbeitsmediziner die Tränen in die Augen...

                 AUFSICHT !       VORSICHT !     

                                      NEIN !      NEIN !      NEIN !        


Meine Physiotherapeutin  will mir bei meiner Rubrik helfen (ich mag ja einiges vergessen haben), und da ich mir sicher bin, dass sie mich weder im Stich noch im Regen stehen lassen wird (schmeichle ich mir doch, einer ihrer erfolgreichsten Patienten zu sein), fange ich schon mal an.
 


  zurück                                                                                                                                            weiter